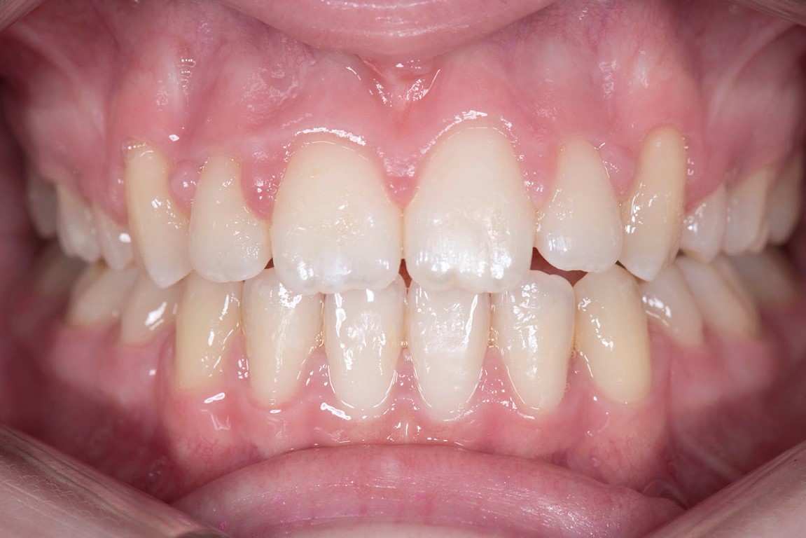
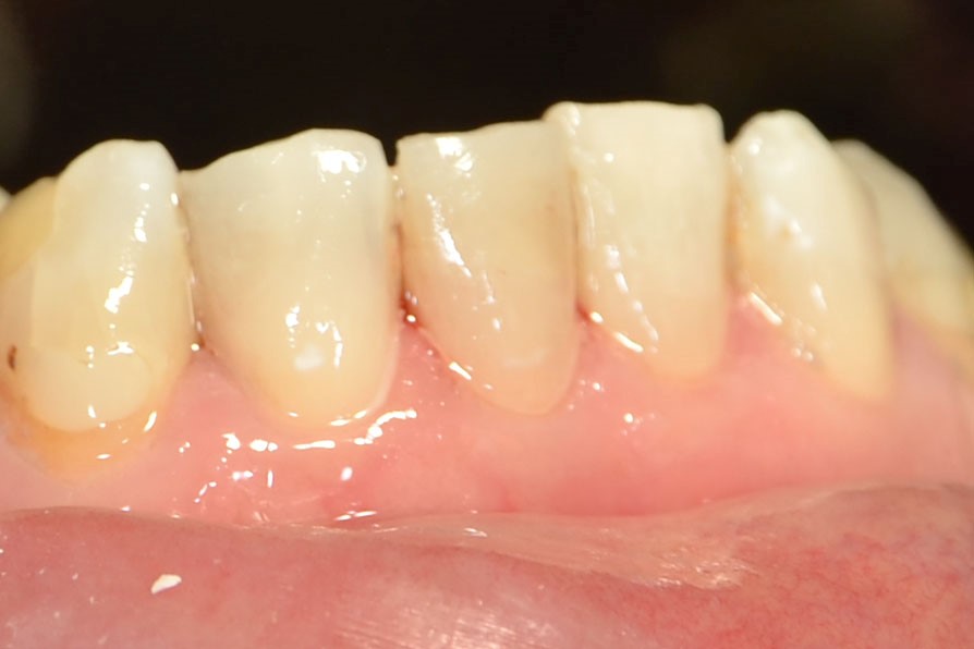
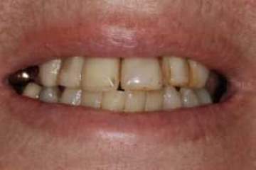
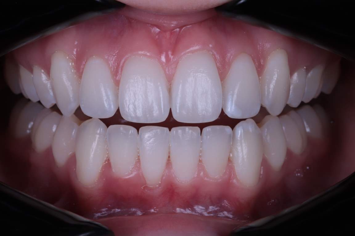
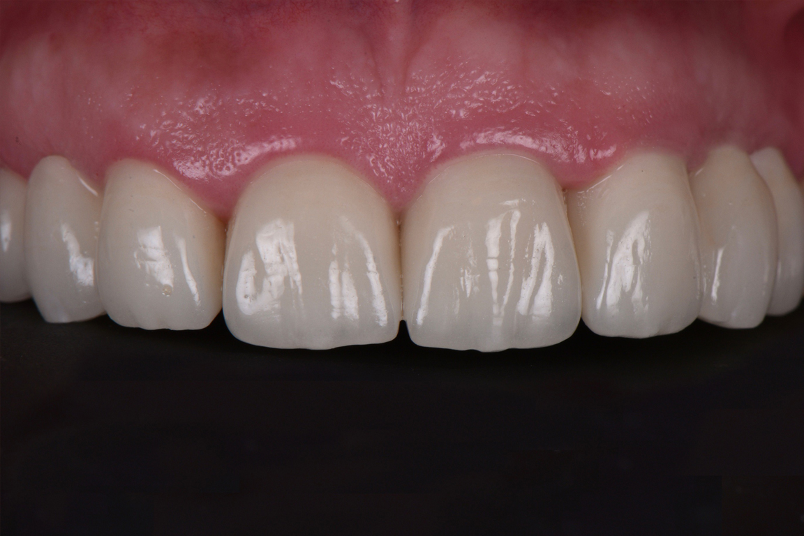
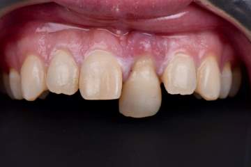
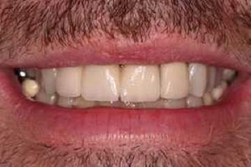
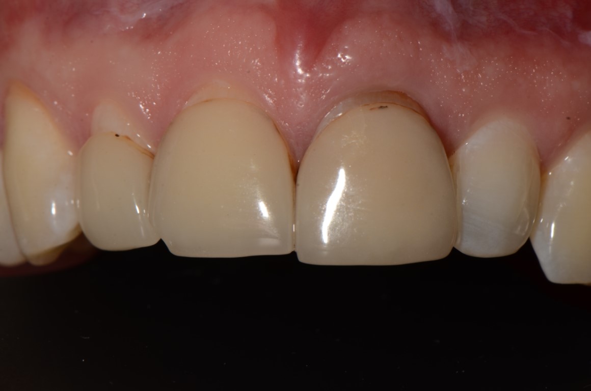
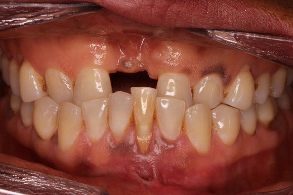
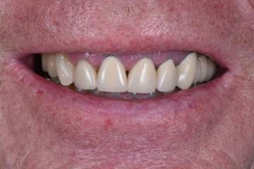
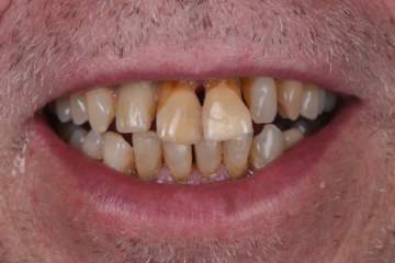
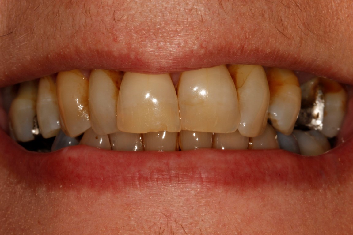
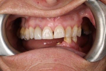
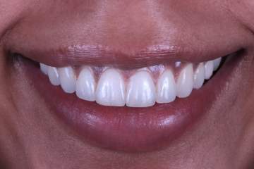
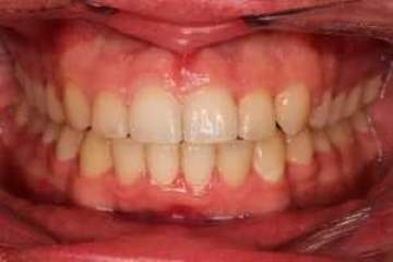
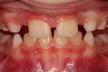
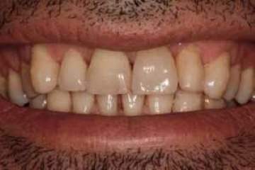
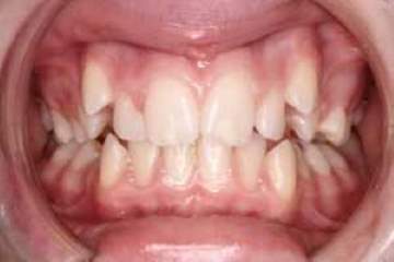
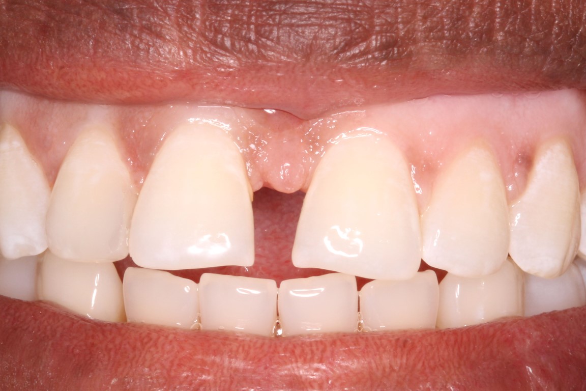
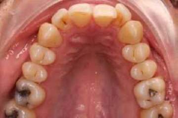
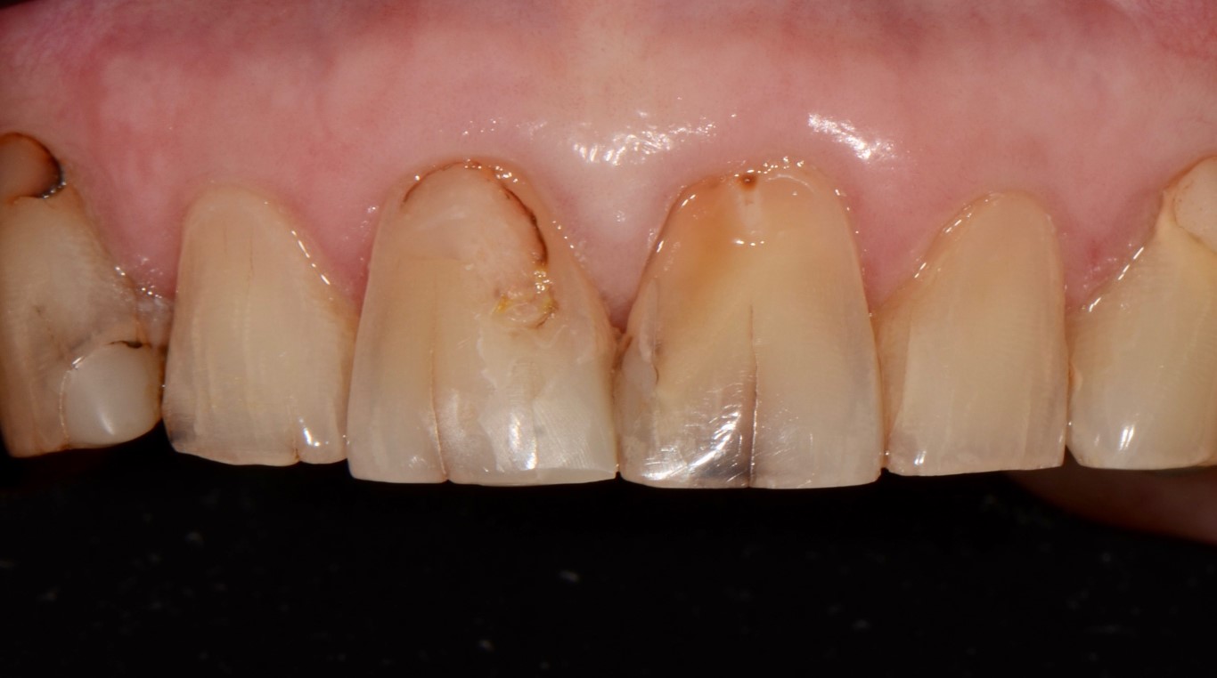
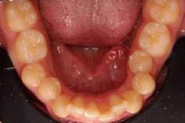
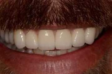
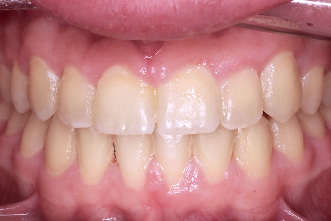
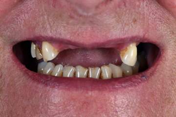
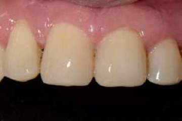
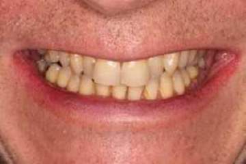
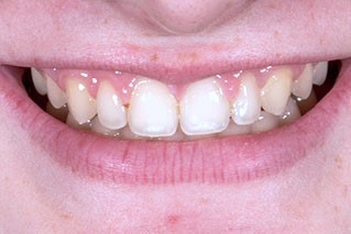
Smile Gallery
A smile is a beautiful thing, here's some examples of where we've helped our patients get theirs back
Fill out the appointment request form or feel free to contact us using the details below:
Contact Details
Tel:
020 8303 7051
Email:
info@thesandford.com
Address:
The Sandford, 306 Broadway
Bexleyheath, Kent DA6 8AA



